Abdominal wall endometrioma far from previous scar
Keywords:
Endometriosis, Abdominal wallAbstract
Endometriosis is defined by the presence of ectopic endometrial tissue that can respond to ovarian hormonal stimulation. Abdominal wall endometrioma prevalence is about 0.1-1%, the diagnosis can represent a challenge for the surgeon.
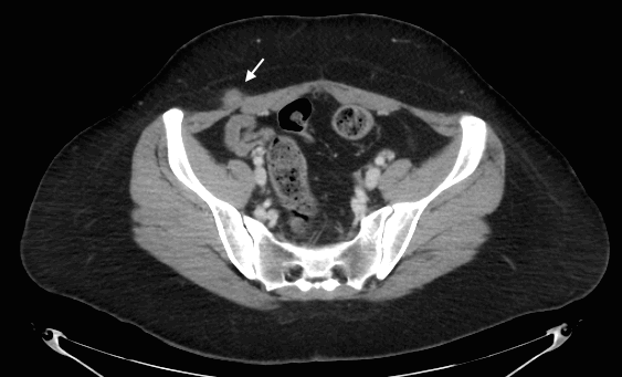
We present the case of a 28-year-old woman with a personal history of cesarean delivery 7 years ago who consulted due to pain relating to a mass in her right lateral abdominal wall. Physical examination showed a 2 cm nodular mass at the right lower quadrant, 10 cm away from the Pfannenstiel scar. Palpation was painful and no protrusion was felt after Valsalva or during bipedestation. Ultrasound and CT scan showed a 17 mm nodular mass at the union of oblique muscles and rectus abdominis muscle. With these findings we performed surgery to remove the mass and the specimen analysis confirmed endometrioma.
In our case the seed of this endometrioma probably took place during the previous surgery. Despite the fact that there was apparently no relation with the skin scar, it seems that it could have been sown during the dissection of the abdominal wall while gaining access to the uterus.
Differential diagnosis should be made with lymphatic node and granuloma. Surgery with free margins (more than 1 cm) is the definitive treatment. If needed, synthetic mesh placement can be indicated.
Downloads
References
2. Khamechian T, Alizagar J, Mazoochi T: 5-Year data analysis of patients following abdominal wall endometrioma surgery. BMC Women's Health 2014 14:151.
3. Heller D, Fitzhugh V: Abdominal Wall Endometriosis: A Rarely Anticipated Diagnosis A 16-Year Experience and Brief Literature Review. The Journal of Reproductive Medicine 2014 59:110-112.
4. Nigam A. Subcutaneous endometriosis: a rare cause of deep dyspareunia BMJ Case Rep. 2014
5. Vinchant M, Poncelet C, Ziol M, et al.: Malignant transformation of abdominal wall endometriosis: case report and literature review. Tumor 2013, 99: e49-e54
Downloads
Additional Files
Published
How to Cite
Issue
Section
License
The authors who publish in this journal accept the following conditions:
- The authors retain the copyright and give the magazine the right of the first publication, with the work registered with the Creative Commons Attribution License, which allows third parties to use what is published whenever they mention the authorship of the work already The first publication in this magazine.
- Authors may make other independent and additional contractual arrangements for non-exclusive distribution of the version of the article published in this journal (eg, include it in an institutional repository or publish it in a book) provided they clearly state that Work was first published in this journal.
- Authors are encouraged and encouraged to publish their work on the Internet (eg on institutional or personal pages) before and during the review and publication process, as it can lead to productive exchanges and greater and faster dissemination of the work. Published work (see The Effect of Open Access).