DYSTROPHIC CALCIFICATION AFTER TURB AND POSTOPERATIVE INTRAVESICAL MITOMYCIN-C ADMINISTRATION
Keywords:
Cystitis, Bladder Tumor, Intravesical ChemotherapyAbstract
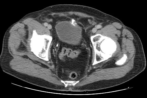
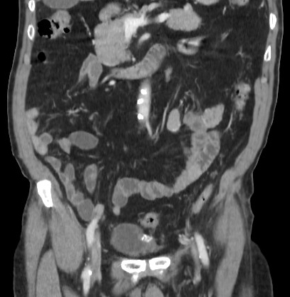
A 77-year-old patient with history of non muscle invasive and recurrent multifocal bladder tumour (pTaG2), with superficial 4-mm recurrence in the fundus bladder mucosa during the follow-up, underwent a transurethral resection of bladder tumor (TURB). Without bladder perforation suspected, intravesical instillation Mitomycin-C in the immediate postoperative period was administered. In cystoscopy, 3 months later, with the patient being asymptomatic, a fibrino-stone like growing was observed, arising from fundus bladder mucosa (1, 2). In an attempt to dismiss a post TURB leak, a biopsy of the fibrinous material was taken and URO-CT performed, which revealed irregularity and a scar tract with some calcifications within the bladder anterior wall (Fig.1 and Fig.2). The histological result of the sample taken was adipose tissue, necrosis, lymphoplasmacytic inflammatory infiltrate and dystrophic calcifications (3), compatible with encrusted cystitis. With those findings in the anatomopathological report, urine sample was analyzed. The pH of the urine was 6 and the culture was negative, so encrustated cystitis was dismissed (4). Most probable, the changes in the bladder mucosa were due to a reactive process to the intravesical instillation of Mytomicin-C in a non-suspected microscopic perforation of bladder wall. During the follow-up after biopsy, the patient was asymptomatic and without pathological findings in the cystoscopy.
Downloads
References
2. Calcified bladder lesions secondary to the instillation of mitomycin C.
Megias Garrigós J, Pelluch Auladell A, Romero Pérez P, Fernandez García J, Gassó Matoses M, Sánchez Marcos M, Mira Llinarés A. Archivos españoles de urología. 1991 Nov;44(9):1057-60.
3. Papillary-like bladder calcifications following intravescical mitomycin C. A case report.
Fiore AA, Iorio B, Vennarecci G, Venditti D, Cervelli V, Giudiceandrea F, Casciani CU. Minerva Urol Nefrol. 1993 Dec;45(4):171-3.
4. Encrusted cystitis after intravesical mitomycin C treatment. Llopis M, Moreno J, Botella R, Algado M. Acta Urol Belg. 1993 Sep;61(3):21-3
Downloads
Additional Files
Published
How to Cite
Issue
Section
License
The authors who publish in this journal accept the following conditions:
- The authors retain the copyright and give the magazine the right of the first publication, with the work registered with the Creative Commons Attribution License, which allows third parties to use what is published whenever they mention the authorship of the work already The first publication in this magazine.
- Authors may make other independent and additional contractual arrangements for non-exclusive distribution of the version of the article published in this journal (eg, include it in an institutional repository or publish it in a book) provided they clearly state that Work was first published in this journal.
- Authors are encouraged and encouraged to publish their work on the Internet (eg on institutional or personal pages) before and during the review and publication process, as it can lead to productive exchanges and greater and faster dissemination of the work. Published work (see The Effect of Open Access).
